Home
New User?    Register     Sign In    Help
  • ΤΟ ΙΑΤΡΕΙΟ
  • ΑΙΣΘΗΤΙΚΗ
  • ΕΜΦΥΤΕΥΜΑΤΑ
  • ΥΠΗΡΕΣΙΕΣ
  • PHOTO GALLERY
  • ΕΠΙΚΟΙΝΩΝΙΑ

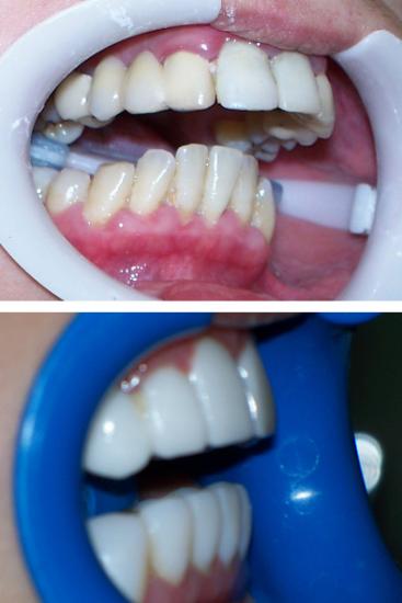
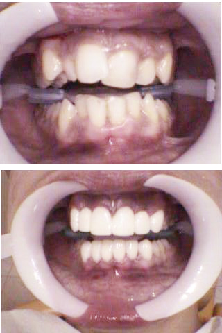
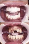
ΔΕΙΓΜΑΤΑ ΕΡΓΑΣΙΑΣ

12
1c
1b
1a
2
3
4
7
6
5
8
9
10
11
15
14
13
16
17
18
22
21
19
23
24
26
27
28
29

Smile lift © 2012 | peel.adv

Find Us On...

Find Smile Lift Βελέντζα Μαρία Σύγχρονη οδοντιατρική on Facebook

Smile lift

  • Το Ιατρείο
  • Παρεχομενες υπηρεσίες
  • Επικοινωνία

Υπηρεσίες

  • Αισθητική οδοντιατρική
  • Ενδοδοντία
  • Μικροχειρουργική στόματος
  • Περιοδοντολογία
  • Προληπτική οδοντιατρική
  • Προσθετική αποκατάταση

Galleries

  • Photos ιατρείου
  • Photo gallery